Блог

    Профессиональная гигиена полости рта: зачем она нужна взрослым

    Правильный уход за полостью рта, даже самые простые процедуры – возможность дольше сохранить зубы и десна здоровыми. Однако даже при тщательной ежедневной чистке зубов избежать возникновения бактериального налета достаточно трудно, а удалить его самостоятельно – и вовсе невозможно. Для этого существует профессиональная гигиена – еще один элемент, необходимый для здоровой улыбки. Главные вопросы и ответы о мерах профилактики стоматологических заболеваний – в материале Анастасии Минеевой, стоматолога-гигиениста «Чайки».
    `Иллюстрация: ${item.title}`

    - Зачем нужна профессиональная гигиена полости рта?

    - Эта процедура направлена на профилактику заболеваний зубов и полости рта. Безусловно, на это влияют и характер питания, и наследственность пациента, и самостоятельный рутинный уход за зубами. Но даже при самой тщательной самостоятельной чистке на поверхности зубов все равно остаются бактерии. Постепенно они начинают воздействовать на зубы и на окружающие ткани, провоцируя развитие кариеса и других заболеваний.

    - Как понять, что мне нужно пройти эту процедуру?

    - Первый признак того, что пора обратиться за помощью к специалисту – кровоточивость десен. Когда вы кусаете яблоко и видите кровь. Когда зубы начинают «реагировать» на кислое, сладкое, перепад температур. Другие признаки – неприятный запах, черные точки на зубах, пигментированный налет. Эти симптомы не всегда указывают на наличие кариеса или других заболеваний, но точно дают понять, что пришло время профессиональной гигиены. Помимо очищения, зубы покрываются фторлаком, чтобы снизить их чувствительность. К тому же, во время профессиональной гигиены можно идентифицировать кариес на ранней стадии – и своевременно пройти лечение.

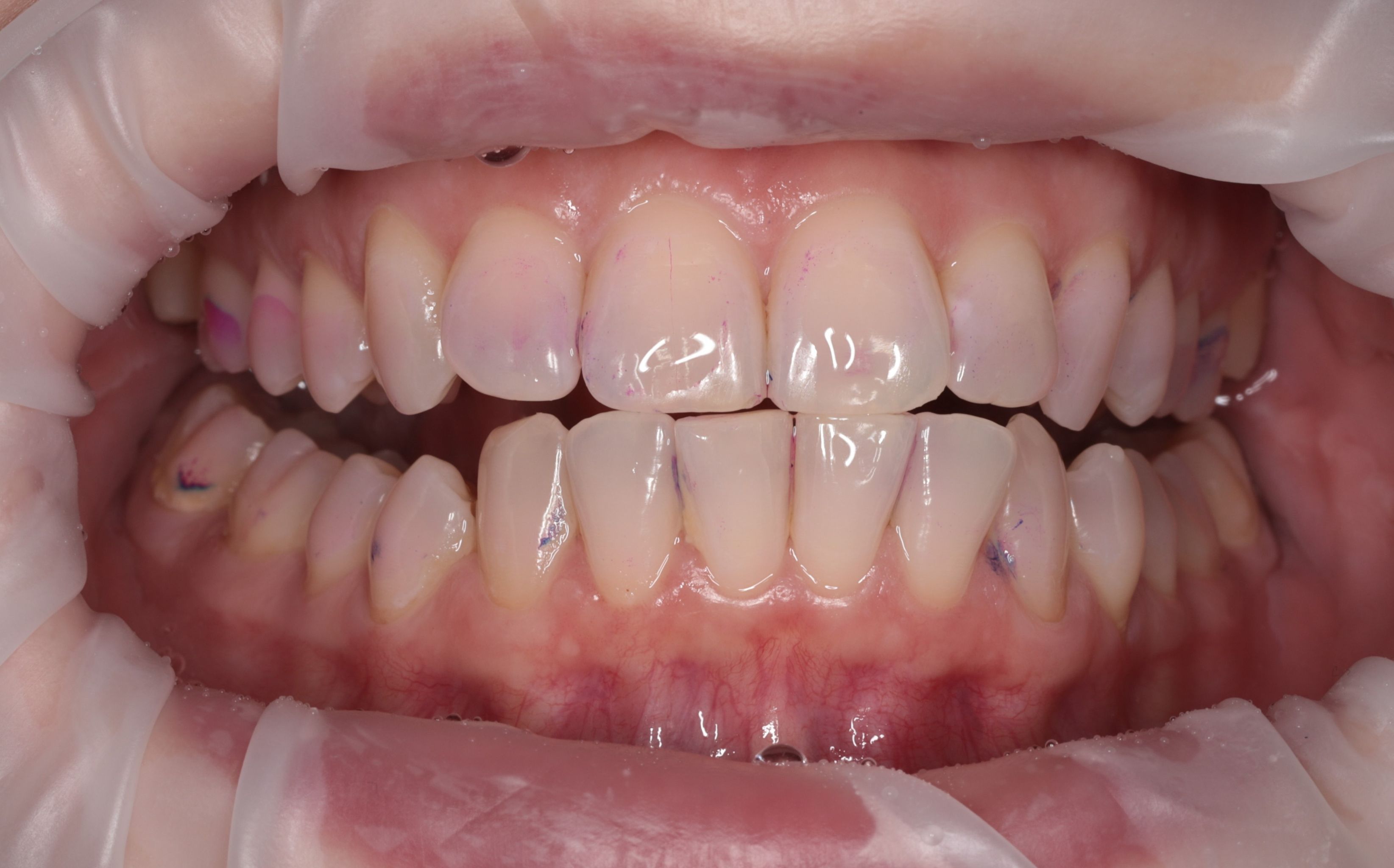
    До профессиональной гигиены: зубы с индикатором налета

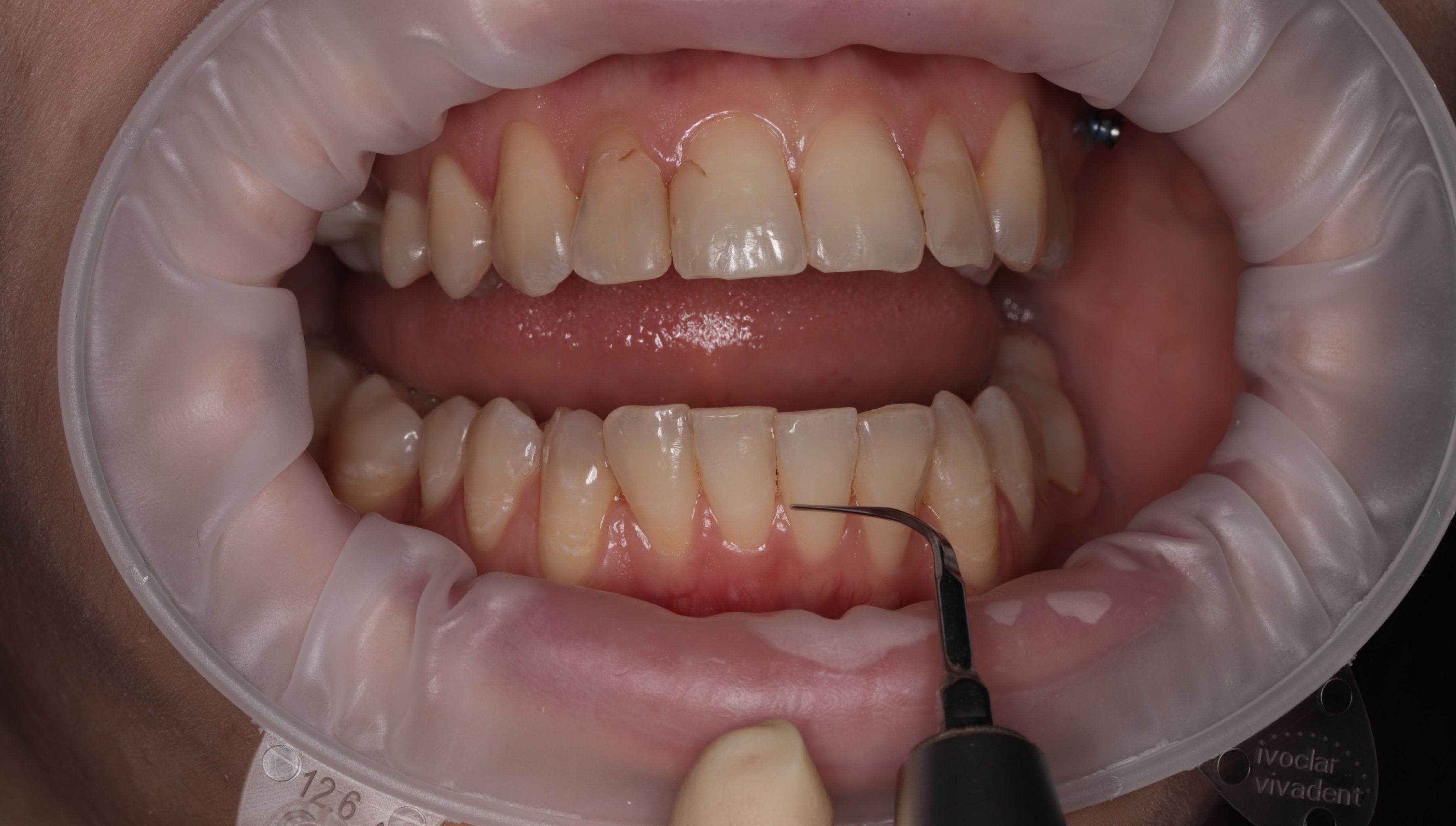
    Процесс профессиональной гигиены полости рта


    Процесс профессиональной гигиены полости рта


    Процесс профессиональной гигиены полости рта

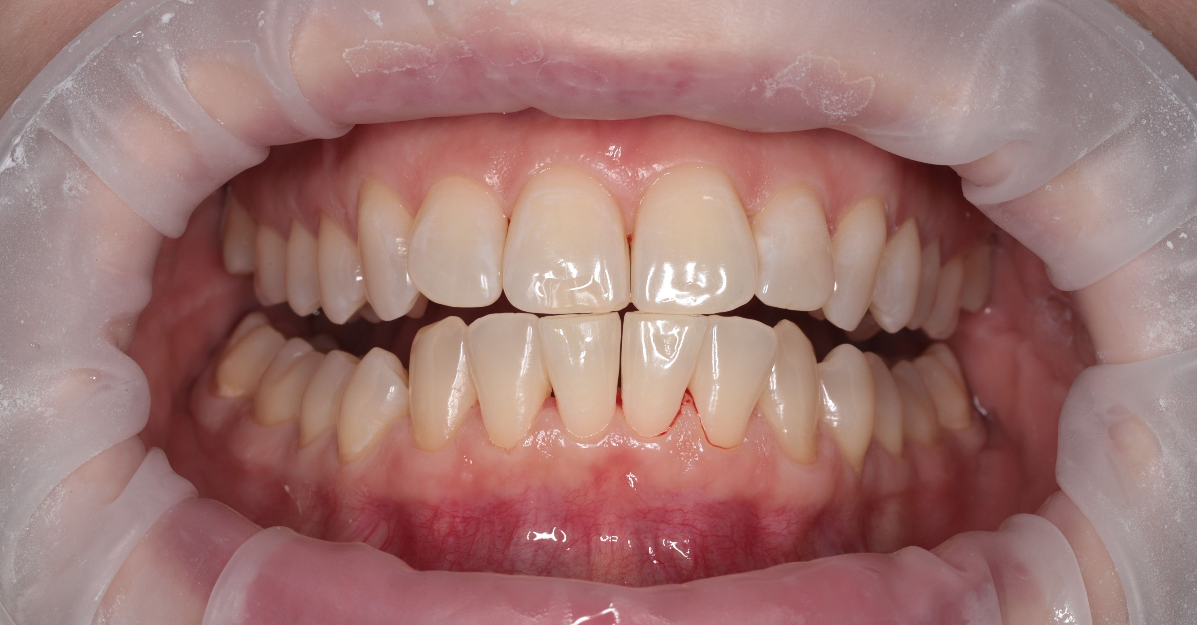
     Результат после профессиональной гигиены

    - Как проходит эта процедура и сколько занимает времени?

    - Сперва проводится осмотр ротовой полости. Далее зубы окрашиваются индикатором налета. Он позволяет оценить качество домашнего ухода за зубами и выяснить, каким местам необходимо уделить больше внимания во время профессиональной гигиены, а потом и дома. Далее удаляется твердый зубной налет и пигментированный налет методом Air-Flow. Поверхность зубов полируется специальной пастой и щеткой. Финальный этап – нанесение специального геля с помощью для снижения чувствительности зубов и укрепления эмали. Вся процедура занимает в среднем около часа.

    - Стоит ли ожидать болевых ощущений?

    - Нет, в большинстве случаев процедура не причиняет боли. Часто пациенты даже засыпают во время процедуры. Если ситуация сложная и налета много, то возможны неприятные ощущения, но они вполне терпимы. 

    - Не усилит ли такое воздействие кровоточивость десен?

    - Действительно, после процедуры зубы могут быть чувствительными, а десны могут кровоточить, но только если исходно было много налета и потребовалось больше усилий для его удаления. В этом случае зубам нужно чуть больше времени на восстановление. Обычно это занимает не больше двух дней.

    - Как часто взрослому человеку лучше проходить профессиональную чистку зубов?

    - Как правило, при хорошей домашней гигиене пациенты приходят на процедуру каждые полгода. А если у пациента есть вредные привычки (курение) или он не очень активно ухаживает за зубами дома, рекомендуется проходить чистку раз в три месяца. Аналогичная рекомендация для тех пациентов, которые носят брекеты или элайнеры.

    Записаться

    - Как ухаживать за зубами после чистки?

    - На приеме уделяется внимание этому вопросу – подбирается зубная паста, подходящая ситуации. Учитываются разные параметры: насколько чувствительны зубы, есть ли кариес, какие у человека пищевые привычки, курит ли он. Также я показываю пациенту те места, которые системно не прочищаются при самостоятельном уходе, обучаю правильно чистить зубы и пользоваться зубной нитью, а в некоторых случаях – ершиками. Не менее важно использовать скребок для языка.

    - Нужен ли ирригатор?

    - Не всем. Он полезен, если пациент носит брекеты, и необходим при наличии ортопедических конструкций – коронок или виниров. Для пациентов с ретейнерами идеально подойдет монопучковая щетка.

    - А как начет ополаскивателей для полости рта?

    - Ополаскиватели не влияют на налет. Это скорее маскировка запаха изо рта. Такие средства уничтожают до 99% бактерий в полости рта, в том числе и полезные. Почти полная санация абсолютно не оправдана, поэтому я не советую пациентам использовать ополаскиватели. Даже в тех, которые не содержат спирт, есть антисептики или эфирные масла, которые могут оказывать негативное влияние. Лучше заменить ополаскиватель мягкой пенкой для полости рта.

    - Станут ли зубы белее в результате профгигиены?

    - Отбеливание и профессиональная гигиена полости рта – абсолютно разные процедуры. После профессиональной гигиены зубы становятся светлее, потому что мы убираем весь пигментированный налет, а пациент вновь видит свои зубы в естественном цвете.

    Этапы профессиональной гигиены 

    1. Индикация налета. Это окрашивание зубов специальным индикатором для демонстрации пациенту наличия зубного налета на зубах. Так он увидит, какие места хуже дочищает — и уже в процессе домашней чистки уделит им больше внимания.
    2. Ультразвук. Все зубные отложения удаляются с использованием ультразвука. Эта процедура безболезненная. Насадка скейлера совершает 100 млн ультразвуковых микродвижений в минуту, которые разрушают твердый зубной камень.
    3. Air-Flow. Из наконечника направляется поток мельчайших частиц специального порошка с водой и воздухом. За счет этого происходит очищение труднодоступных участков, межзубных пространств, удаление пигментированного налета.
    4. Полировка с щеткой и пастой. Полировка поверхностей зубов с помощью паст для гладкости зубов 
    5. Укрепление зубов в капе с гелем
    Записаться