Игорь Бондаренко

    Стоматолог-терапевт
    Взрослые

    Обо мне

    12 лет специализируюсь на лечении и сохранении зубов. Работаю со сложными клиническими случаями при пульпите и воспалении на корнях. Провожу перелечивание корневых каналов, извлечение штифтов и инструментом. Восстанавливаю функцию зубов при лечении кариеса. Работаю с операционным микроскопом для точности. Также провожу процедуры проф.гигиены, укрепления и отбеливания зубов. 

    Свою профессиональную деятельность начинал в 2011 году в городе Самара под руководством главного врача частной практики. Тогда впервые увидел, какой может быть стоматология. За 15 лет было изучено множество смежных специальностей, чтобы обеспечить пациентам прогнозируемые результаты лечения и комплексный подход к жевательному органу.

    В настоящее время веду прием в Москве в одной из лучших клиник Чайка Сити с международным сертификатом безопасности медицинским услуг.

    Что для меня важно?
    Доверие пациента и его комфорт. Открытость информации, спокойный диалог, осведомленность о ходе лечения в совокупности с безболезненностью манипуляций делает лечение комфортным.

    Как я понимаю, что пациенты мне доверяют? 
    Они сами про это говорят. Большинство просто засыпают на втором визите во время лечения. Считаю это лучшим комплиментом стоматологу.

    Буду рад видеть вас на приеме! Обязательно возьмите с собой хорошее настроение.

    Образование

    Самарский государственный медицинский университет. Стоматологический факультет 2008 - 2013 гг.

    Интернатура по общей стоматологии на базе Стоматологической полоклиники №3, 2013 - 2014 гг.

    Повышение квалификации по хирургической стоматологии, Реавиз, 2015 г.

    Повышение квалификации по терапевтической стоматологии, Северо-Западный государственный медицинский университет им. И.И. Мечникова, 2016 г.

    Повышение квалификации по ортопедической стоматологии, Санкт-Петербургский институт стоматологии, 2018 г.

    Научная деятельность

    2024    Защита аккредитации по терапевтической стоматологии

     

    2020    Эндодонтия повышенной сложности. Dental Course. 

     

    2020    Авторский протокол обработки искривленных каналов. Dental Course.

     

    2018     Повторное лечение корневых каналов. ИНСТОМ.

     

    2018     Все о резорбциях и эндо-перио поражениях. Аэлита.

     

    2018     Трехмерная компьютерная лучевая диагностика. КЛКТ в стоматологии. ИНСТОМ.

     

    2018     Безметалловые конструкции при нарушении эстетики и дефектах твёрдых тканей зубов. Вкладки, виниры, коронки. ИНСТОМ.

     

    2018     Основы клинической гнатологии. ИНСТОМ.

     

    2018     International Endodontic Congress. ProEndo by Michael Solomonov.

     

    2017     Секреты успешных реставраций. Олимп-Дентал

     

    2017     Восстановление анатомической формы передней и боковой группы зубов в эстетической реставрации. Учебный центр Антона Ветчинкина.

     

    2016     Профессиональная и индивидуальная гигиена iTOP.

     

    2016     Отбеливание зубов от теории к практике. ИНСТОМ.

     

    2016     Современные технологии на гигиеническом и пародонтологическом приеме. Apex.

     

    2015     Актуальные вопросы применения 3D-технологий в современной стоматологической практике. V межрегиональная конференция.

    Примеры работ

    • Извлечение отломка инструмента из корневого канала

    • Лечение кариеса

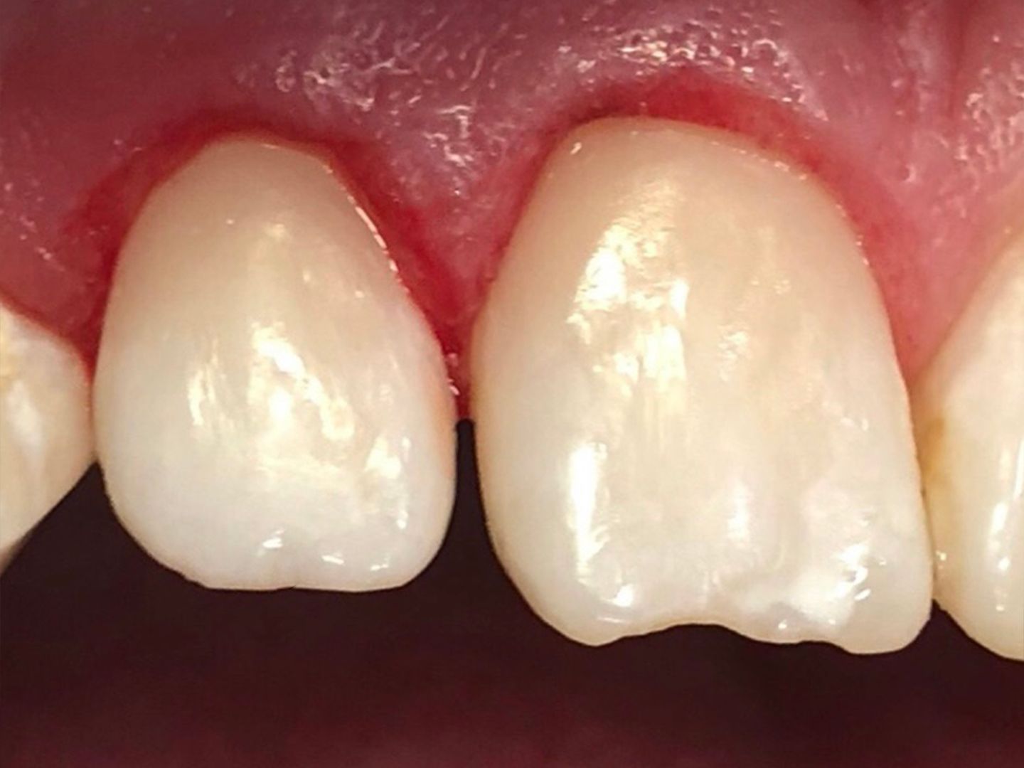
    • Замена дефектных пломб

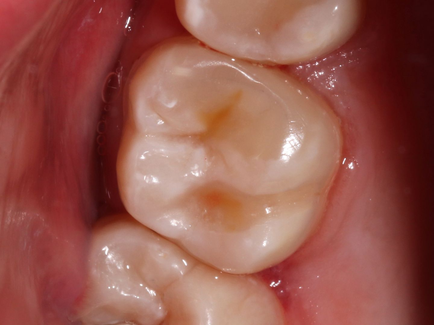
    • Лечение скрытого кариеса

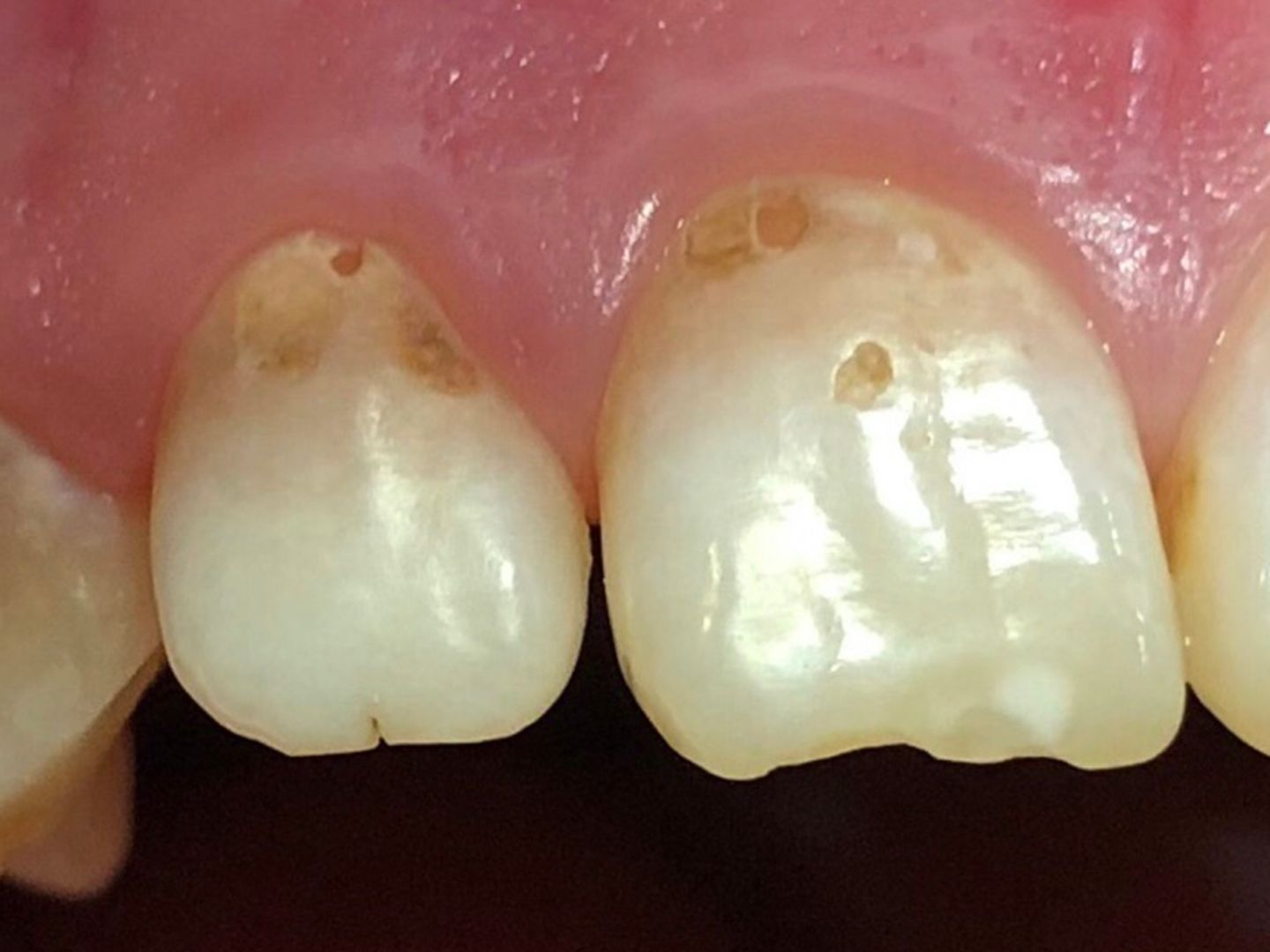
    • Лечение пришеечного кариеса

    • Лечение острого периодонтита

    • Лечение кариеса

    • Лечение периодонтита "киста на зубе"

    • Снятие зубных отложений

    • Перелечивание корневых каналов

    • Лечение кариеса