Саломе Коберидзе

    Стоматолог-терапевт
    Взрослые
    Владеет языками
    Английский, Русский, Грузинский

    Обо мне

    Здравствуйте, дорогие пациенты!

    Меня зовут Саломе, я врач стоматолог-терапевт.

    Моя основная задача как врача — обеспечить каждому пациенту качественное и безопасное лечение в комфортной и дружелюбной обстановке. Я помогу вам сохранить здоровье зубов и десен, используя современные методы и технологии, придерживаясь принципов доказательной медицины. Это позволяет гарантировать наилучшие результаты, минимизировать дискомфорт и обеспечить индивидуальный подход к каждому пациенту.

    Также я уделяю большое внимание профилактике стоматологических заболеваний и обучению правильному уходу за полостью рта.

    Лечение провожу исключительно с использованием дентального микроскопа.


    Ко мне вы можете записаться на:

    • Первичную консультацию с составлением комплексного плана лечения, включая дополнительные методы диагностики (компьютерная томография — КЛКТ) и фотопротокол полости рта для наглядной визуализации.
    • Лечение кариеса и его осложнений (пульпит/периодонтит).
    • Профессиональную гигиену полости рта, а также подбор индивидуальных средств гигиены.
    • Отбеливание зубов.
    • Эстетическую реставрацию фронтальных и жевательных зубов  

     

    Если у вас есть вопросы или вы хотите записаться на прием, не стесняйтесь обращаться! Буду рада видеть вас у себя на приеме❤️

    Образование

  • -Московский Государственный Медико-Стоматологический Университет им.А.И.Евдокимова
  •  - ФГБУ ДПО «Центральная государственная медицинская академия» Управления Делами Президента РФ. Ординатура по направлению «Терапевтическая стоматология»  
  • Доп.образование,курсы:
  •  Трехдневный практический курс по эндодонтии “Endo.Повседневная практика”. Лектор: Юрий Кочаров
  •  Курс по восстановлению жевательных групп зубов по второму классу + глубокие поддесневые дефекты. Лектор : Шамиль Алексеров,Руслан Мирза
  • Лекция+Мастер-класс- Тактика эстетической реставрации зубов с дисколоритами" Лектор: Мендоса Е.Ю
  • Курс ‘ DIRECT ANTERIOR: Прямые реставрации фронтальной группы зубов’ Лектор: Карпенко Роман.
  • Курс ‘Прямые Реставрации. Прогнозируемый эстетичный результат’ Лектор: Анна Зубкова

  • Примеры работ

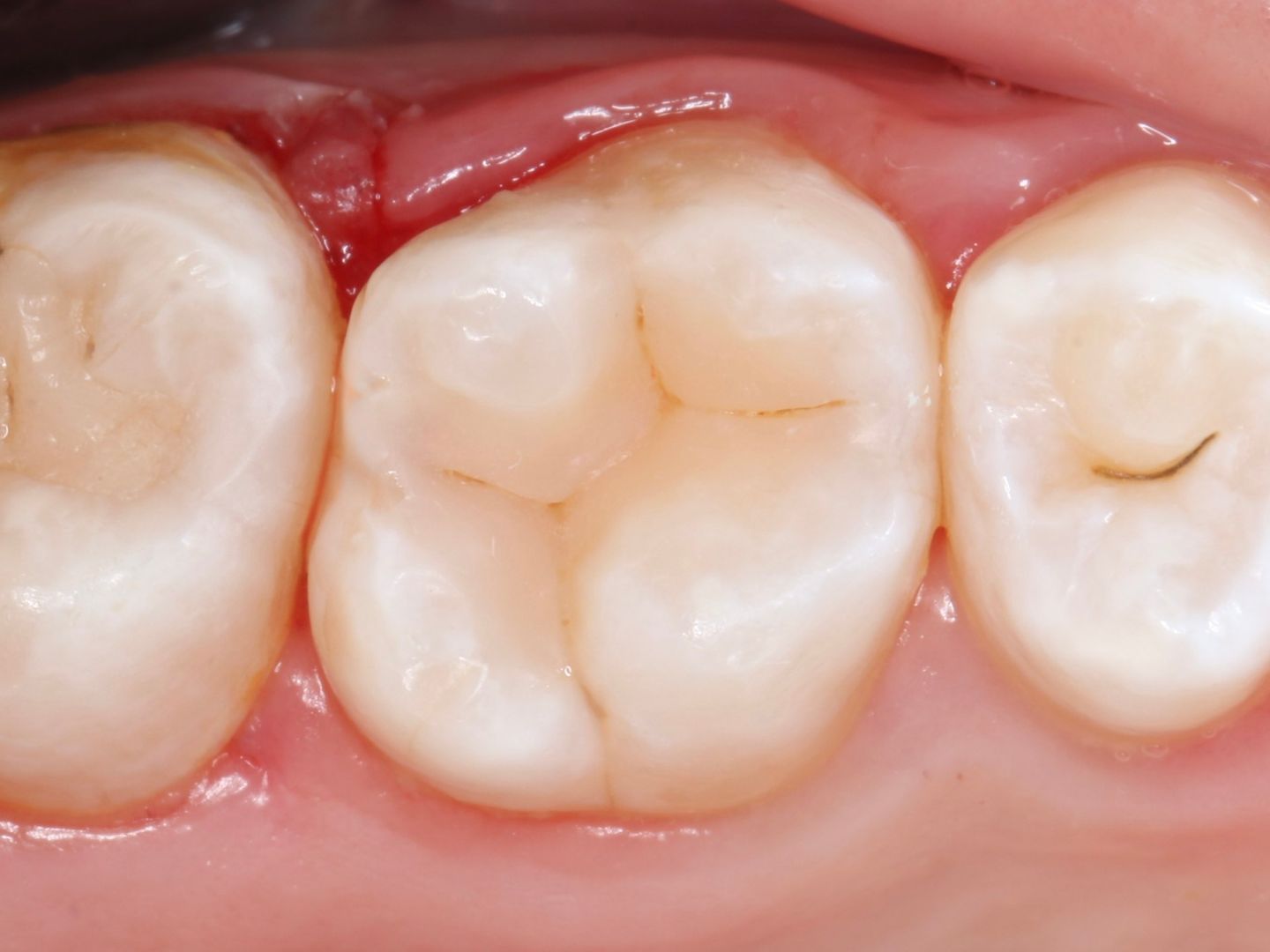
    • Замена пломбы и лечение кариеса с использованием дентального микроскопа

    • Замена пломбы и лечение кариеса с использованием дентального микроскопа

    • Замена пломбы и лечение кариеса с использованием дентального микроскопа

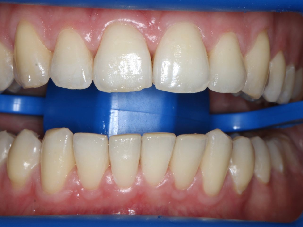
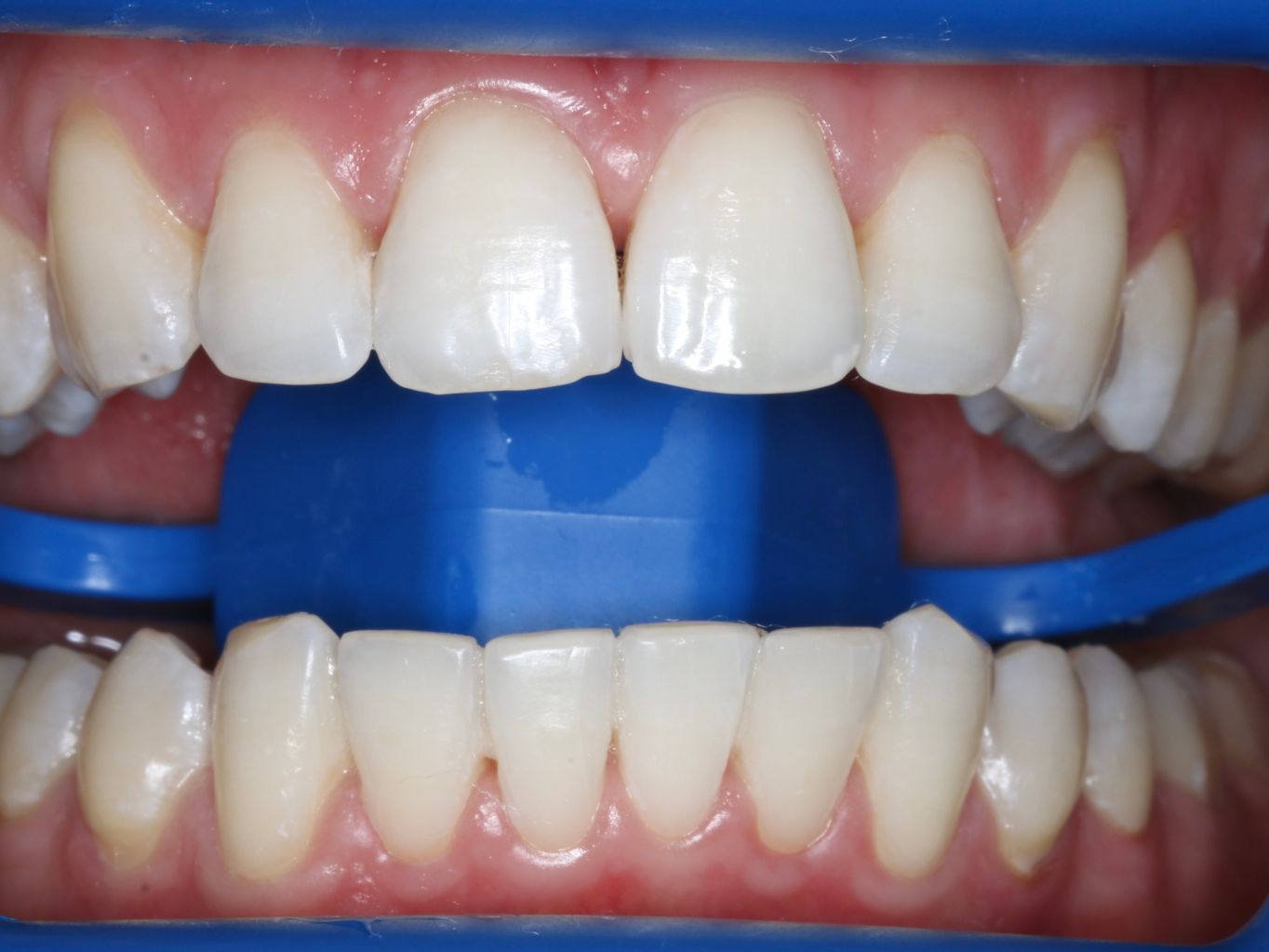
    • Отбеливание зубов системой Zoom 4

    • Лечение скрытого кариеса