Сагибат Рамазанова

    Стоматолог-ортодонт
    Взрослые и дети от 6 лет

    Обо мне

    Здравствуйте! Меня зовут Сагибат, я врач-стоматолог-ортодонт. Моя работа — помогать детям и взрослым обрести здоровую, красивую улыбку и уверенность в себе.
    Я занимаюсь диагностикой и лечением нарушений прикуса, положением зубов и челюстей.
    Ко мне обращаются, если:
    -зубы растут неровно или сместились;
    -есть скученность или промежутки между зубами;
    -изменён прикус (перекрестный, открытый, глубокий и т. д.);
    -беспокоят боли в челюстях, щелчки или повышенная стираемость зубов;
    -хочется улучшить эстетику улыбки.
    Я стараюсь, чтобы лечение проходило комфортно, с пониманием и вниманием к каждому пациенту — независимо от возраста.
    С детьми работаю мягко, через доверие и игру, а взрослым помогаю подобрать эстетичное и удобное лечение, которое впишется в привычный ритм жизни.
    Главная цель — не просто выровнять зубы, а сделать улыбку естественной, функциональной и гармоничной с лицом.

    Образование

    ФГАОУ ВО Первый МГМУ им. И. М. Сеченова Минздрава России (Сеченовский Университет). Врач-стоматолог

    ФГБУ ГНЦ ФМБЦ им. А.И. Бурназяна ФМБА России. Врач-ортодонт

    Примеры работ

    • Ортодонтическое лечение на брекет-системе

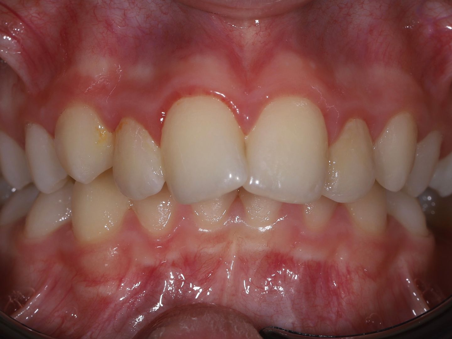
    • Ортодонтическое лечение на миофункциональном трейнере

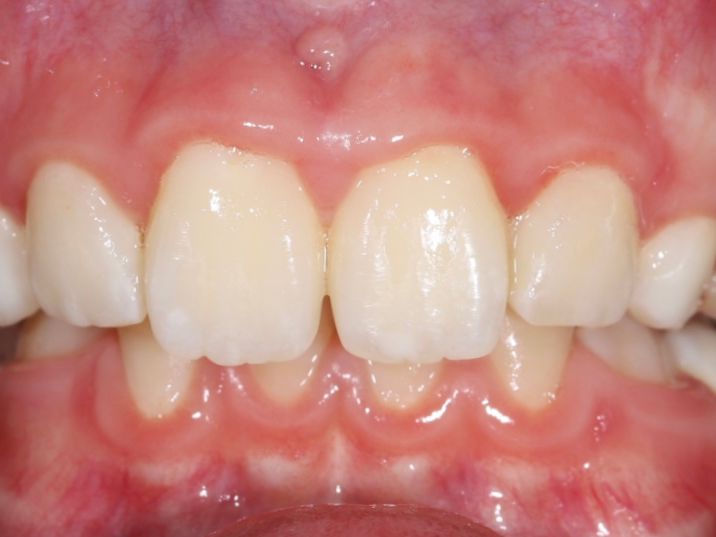
    • Ортодонтическое лечение с использованием LM-активатора

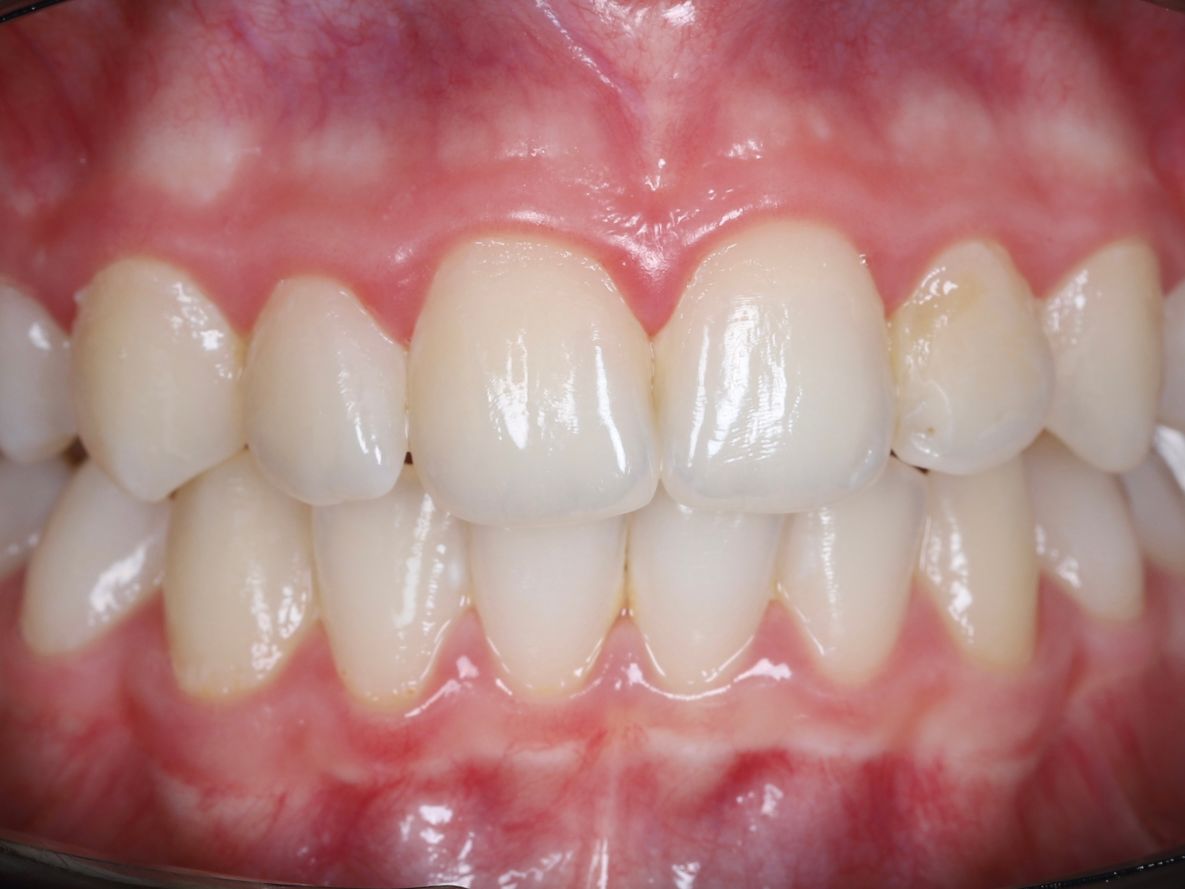
    • Ортодонтическое лечение на брекет-системе

    • Ортодонтическое лечение с использованием LM-активатора