Анна Тангоян

    Стоматолог-гигиенист
    Взрослые

    Обо мне

    Дорогие пациенты, здравствуйте!

    Меня зовут Анна, я врач - стоматолог - гигиенист и ваш союзник в заботе о здоровье и красоте вашей улыбки.

    Для человека очень важна не только красивая улыбка но и ощущение комфорта и доверия. Поэтому в своей практике я объединяю современные технологии с бережным и чутким подходом)

    Чем я могу быть вам полезной:

    • Комплексная профессиональная гигиена полости рта — наша первая совместная ступенька к долгой жизни ваших зубов.

    • Бережное и безопасное профессиональное отбеливание (ZOOM, Amazing White, Beyond, Opalescence) — мы вместе подберём вариант, который подарит вам яркую улыбку, сохранив естественность.

    • Забота о дёснах — это основа стабильности зубов, и я внимательно работаю даже с самыми деликатными участками.

    • Обучение домашней гигиене по швейцарской системе iTop. Я помогу вам превратить ежедневный уход в лёгкую и эффективную рутину.

    • Укрепление эмали и коррекция флюороза методом микроаббразии

    • Индивидуальный подбор уходовых средств

    Свою миссию я вижу не только в качественной гигиене полости рта или отбеливании, но и в том, чтобы вы уходили от меня с ощущением заботы и чётким пониманием, как просто и легко можно поддерживать результат)

    Давайте пройдём этот путь к здоровой улыбке вместе — без страха, с пониманием и в вашем комфортном ритме. Буду рада помочь вам обрести не только красоту, но и уверенность в своём здоровье, ведь путь к здоровым зубам начинается с гигиены, и
    моя цель - сделать так, чтобы ваши визиты к стоматологу были только профилактическим

    С теплом и заботой,
    Анна!

    Примеры работ

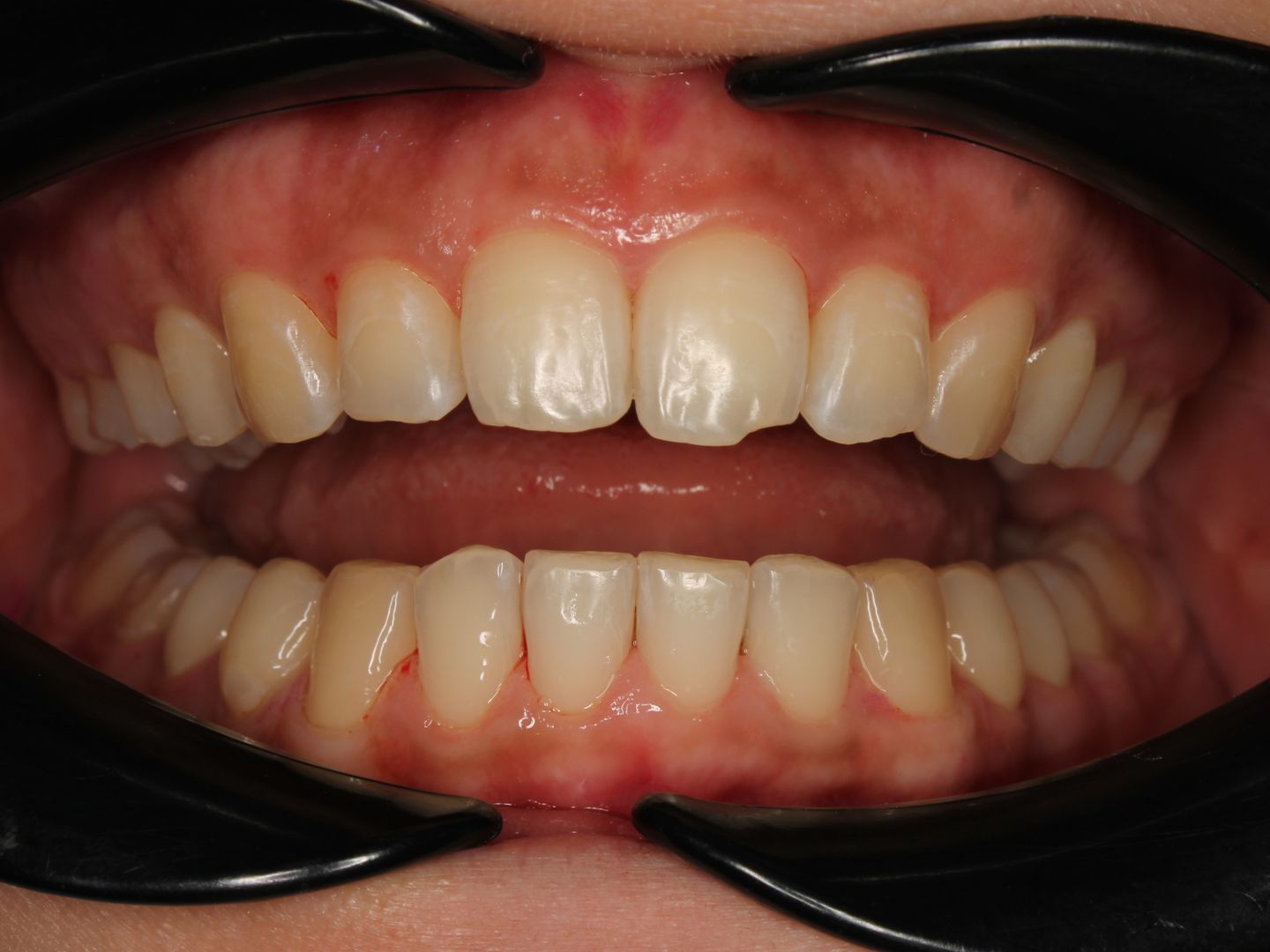
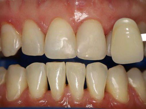
    • Комплексная гигиена полости рта

    • Комплексная гигиена полости рта

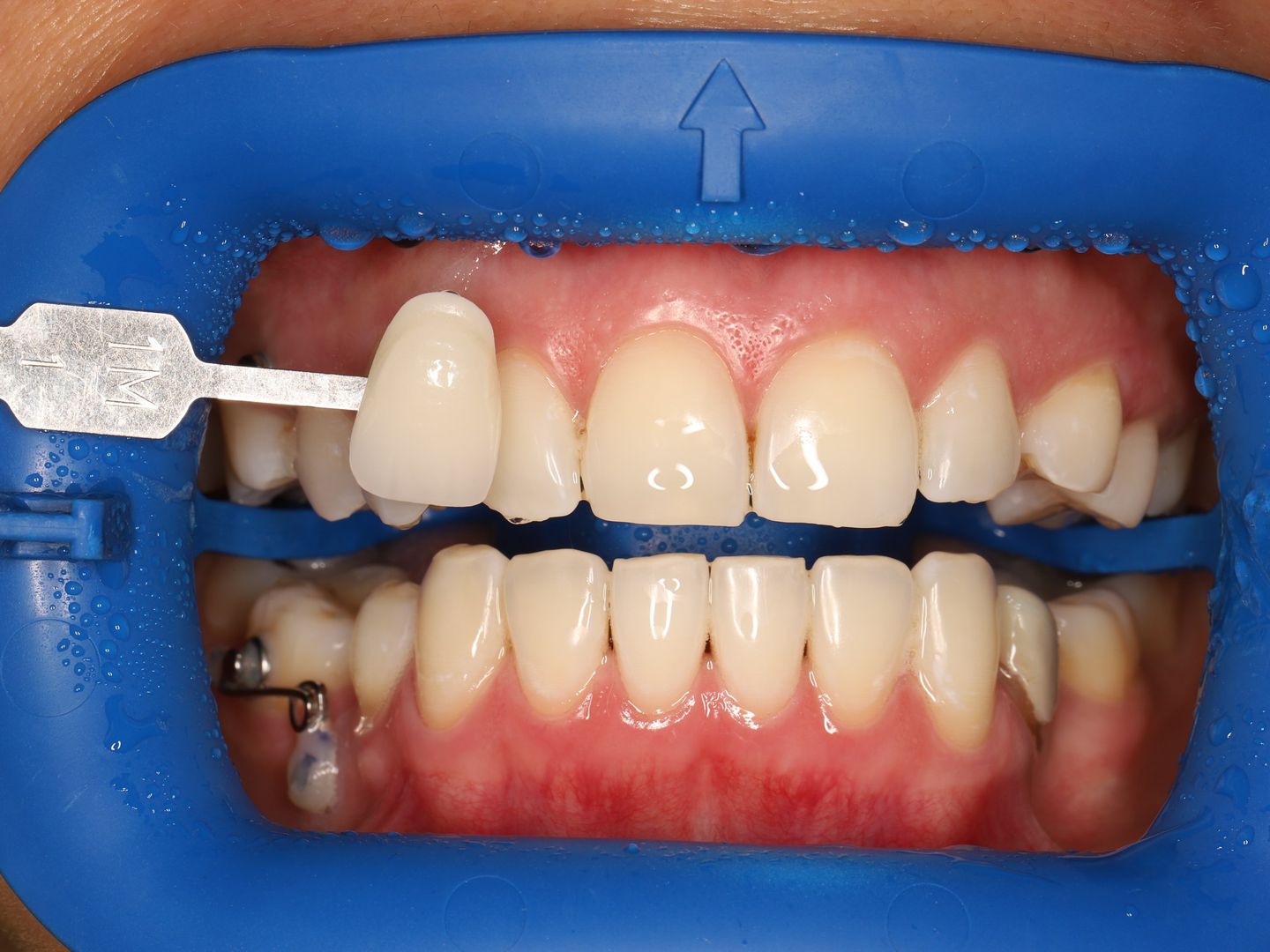
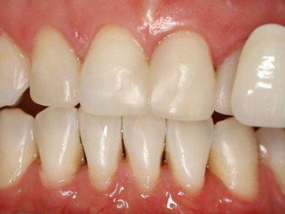
    • Отбеливание зубов Philips ZOOM 4

    • Отбеливание зубов Philips ZOOM 4

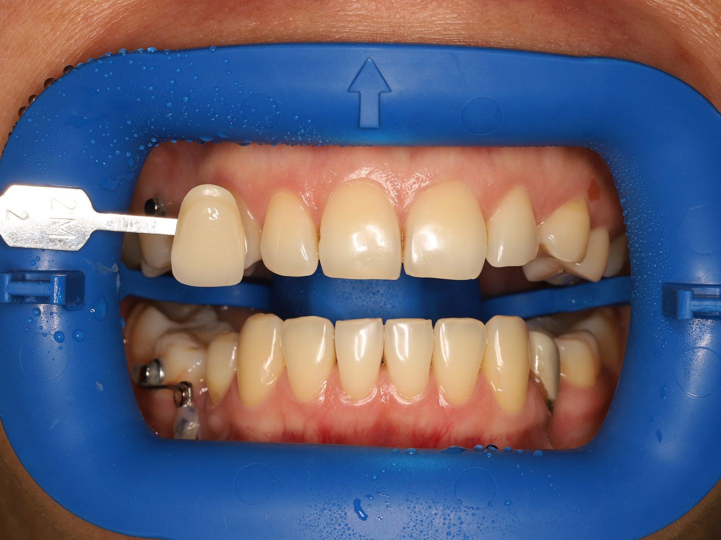
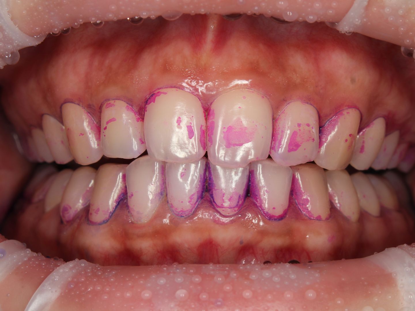
    • Комплексная гигиена полости рта при ортодонтическом лечении

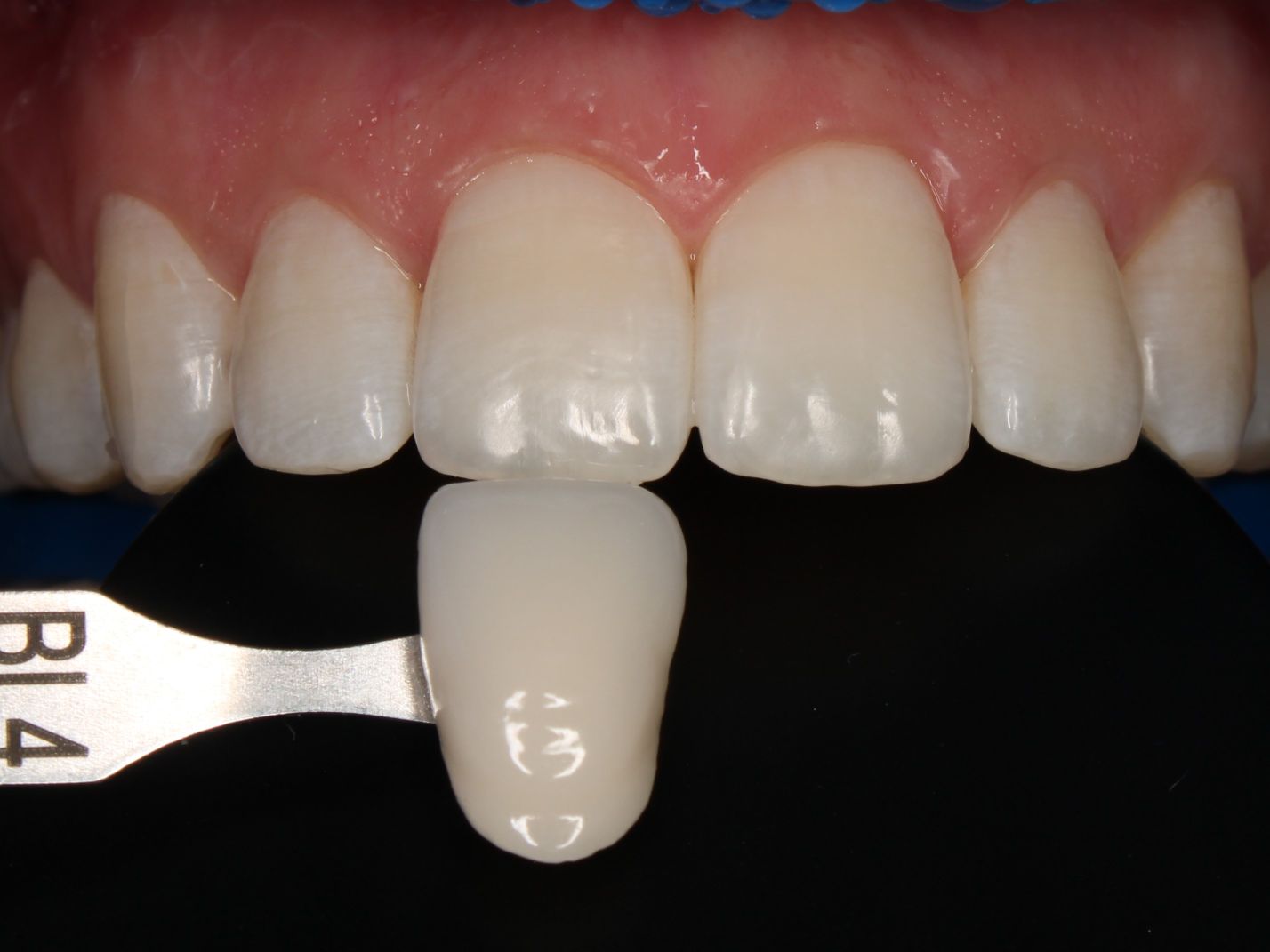
    • Отбеливание зубов Philips ZOOM 4