Блог

    Тяжелые последствия приема глистогонных средств для головного мозга

    Невролог клиники «Чайка» Елена Лысогорская рассказала о последствиях приема левамизола.
    `Иллюстрация: ${item.title}`

    Как врач, я наблюдаю такой парадокс – некоторые мои пациенты отказываются от приема рекомендованных им медикаментов. В этом случае мы вместе пытаемся разобраться, в чем причина, и преодолеть эти барьеры. Иногда удаётся. В то же время есть другая крайность – прием медикаментов, рекомендованных «специалистом» без соответствующего права и образования, самостоятельное решение человека применять какие-либо лекарства. Удивительно, но иногда это одни и те же люди.

    К сожалению, нередко я сталкиваюсь с тяжелыми осложнениями самостоятельного приема некоторых «безобидных», по мнению пациентов, лекарств. К таким случаям относится прием левамизола, который содержится в препарате «Декарис». Это средство иногда рекомендуют «заботливые» ветеринары хозяевам питомцев в качестве профилактики гельминтных инвазий. Иногда его дают детям, если мамы не информированы о рисках, связанных с приемом этого вещества. Нередко его настойчиво предлагают принять работникам общественного питания «заботливые» работодатели и собственники перед визитом очередной проверки со смывами.

    Настоящее сообщение ставит целью снизить число осложнений левамизола. Пожалуйста, не принимайте его и перешлите этот пост своим знакомым, чтобы информированных людей было как можно больше!

    Почему это так?

    Препарат появился в 1960-х гг. как противопаразитарное средство. Чуть позже были выявлены его иммуностимулирующие свойства. Кроме лечения гельминтозов, левамизол использовался при ряде аутоиммунных заболеваний — ревматоидном артрите, рецидивирующих афтозных стоматитах, болезни Бехчета, а также в различных схемах химиотерапии при лечении колоректального рака и других онкозаболеваний. Но в связи с сообщениями о серьезных нежелательных реакциях (дерматит, поражение мелких сосудов, уменьшение числа клеток крови и даже агранулоцитоз, а также развитие лейкоэнцефалопатии через 2—5 недели от начала приема), препарат был запрещен в США и Европе в начале 2000-х годов.

    К сожалению, в России он продолжает быть доступен в аптеках.

    Одно из самых тяжелых осложнений приема лекарства – энцефалопатия, которая является следствием аутоиvмунного поражения головного мозга. Максимально ее риск проявляется в интервале от 2 до 5 недель после приема левамизола.

    Пациент с такой индуцированной приемом Декариса энцефалопатией начинает жаловаться на нарушение памяти, внимания, трудности при подборе слов, эмоциональные нарушения, нарушения сна, могут появиться двигательные симптомы и даже нарушения сознания.

    Это может стать тяжелым заболеванием, которое повлечет за собой госпитализацию и не всегда завершается восстановлением даже после правильного и своевременного лечения. Последствия энцефалопатии могут остаться с человеком в виде нарушений памяти, утраты работоспособности, двигательных или других нарушений.

    Подобные проблемы возникают именно после приема левамизола, но и у других противогельминтных препаратов есть побочные эффекты.

    Берегите себя и не принимайте медикаменты без рекомендации доктора.

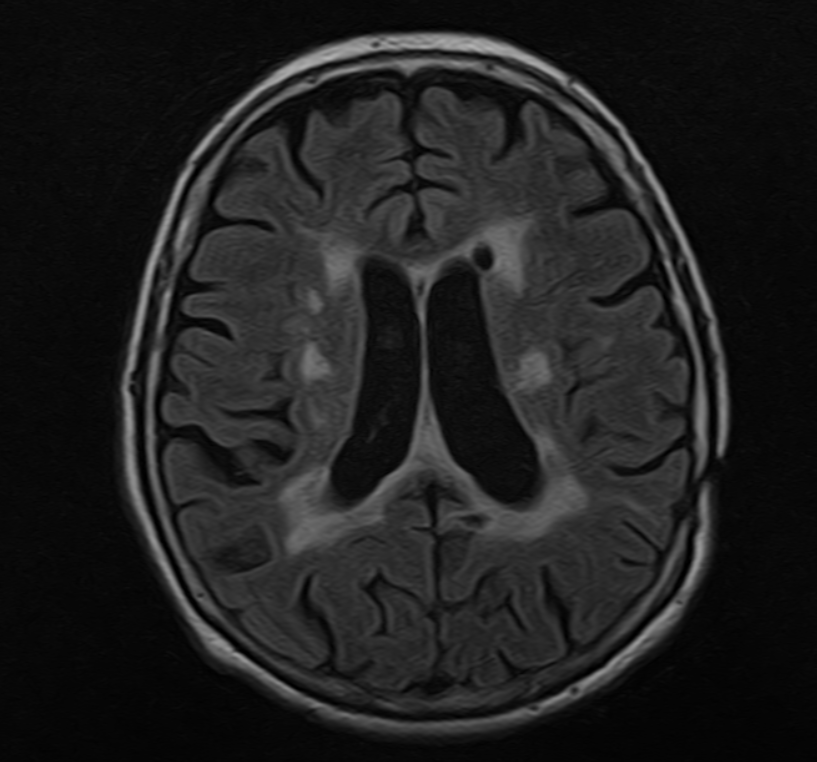
    Ниже привожу пример МРТ-изображения головного мозга пациента с последствиями приема левамизола для убедительности. На изображении все «белые пятна» - это патологические изменения.

    • Moertel C, Fleming T, MacDonald J. Levamisole and fluorouracil for adjuvant therapy of resected colon cancer. N Engl J Med. 1990;322:352-358.
    • Lee KC, Ladizinski B, Federman DG. Complications associated with use of levamisole-contaminated cocaine: an emerging public health challenge.
    • Mayo Clin Proc. 2012;87(6):581-586.
    • Vivarelli M, Emma F. Levamisole for children with nephrotic syndrome: new evidence for the use of an «old» drug. Kidney International. 2019;95:25-28.
    • Larocque A, Hoffman RS. Levamisole in cocaine unexpected news from an old acquaintance. Clin Toxicol. 2012;50(4):231-241.
    • Аверченков Д.М., Бейшеева М.Т., Ивакина Е.Д., Фоминых В.В., Гражданцева Л.Ю., Иващенко Р.А., Арзуманян Н.Ш., Брылев Л.В., Гехт
    • А.Б. Левамизол-индуцированная воспалительная лейкоэнцефалопатия. Журнал неврологии и психиатрии им. С.С. Корсакова. 2019;119(12):106-114